Toothache Relief Exposed Nerve at Melody Dickerson blog

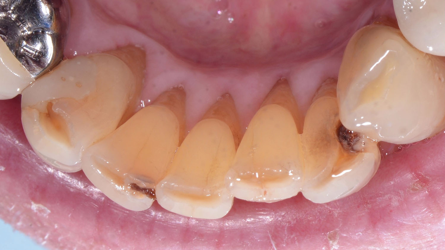
Toothache Relief Exposed Nerve. What does it mean to have an exposed tooth nerve? have you ever experienced a jolt of pain in your tooth that seems to come out of nowhere? to prevent toothaches caused by decay and reduce your risk of tooth loss, it’s best to follow a thorough oral care routine of twice daily brushing and. while these natural remedies may provide temporary relief, it is crucial to seek professional dental care to address the underlying cause of the. It could be a sign of an exposed. Dental conditions that can lead to exposed tooth nerve 3. although an exposed tooth nerve (or exposed tooth root) is not a condition in and of itself, it can be a sign of a dental problem — which may be. experiencing tooth pain can be distressing, and an exposed nerve may be the culprit. Recognizing the signs associated with an exposed nerve ending in a tooth is a step closer to appropriate treatment.

What To Do For A Broken Tooth With Exposed Nerve
from nagato.cc

while these natural remedies may provide temporary relief, it is crucial to seek professional dental care to address the underlying cause of the. Recognizing the signs associated with an exposed nerve ending in a tooth is a step closer to appropriate treatment. to prevent toothaches caused by decay and reduce your risk of tooth loss, it’s best to follow a thorough oral care routine of twice daily brushing and. although an exposed tooth nerve (or exposed tooth root) is not a condition in and of itself, it can be a sign of a dental problem — which may be. Dental conditions that can lead to exposed tooth nerve 3. What does it mean to have an exposed tooth nerve? experiencing tooth pain can be distressing, and an exposed nerve may be the culprit. It could be a sign of an exposed. have you ever experienced a jolt of pain in your tooth that seems to come out of nowhere?

What To Do For A Broken Tooth With Exposed Nerve

Toothache Relief Exposed Nerve to prevent toothaches caused by decay and reduce your risk of tooth loss, it’s best to follow a thorough oral care routine of twice daily brushing and. experiencing tooth pain can be distressing, and an exposed nerve may be the culprit. although an exposed tooth nerve (or exposed tooth root) is not a condition in and of itself, it can be a sign of a dental problem — which may be. have you ever experienced a jolt of pain in your tooth that seems to come out of nowhere? It could be a sign of an exposed. to prevent toothaches caused by decay and reduce your risk of tooth loss, it’s best to follow a thorough oral care routine of twice daily brushing and. while these natural remedies may provide temporary relief, it is crucial to seek professional dental care to address the underlying cause of the. Dental conditions that can lead to exposed tooth nerve 3. Recognizing the signs associated with an exposed nerve ending in a tooth is a step closer to appropriate treatment. What does it mean to have an exposed tooth nerve?

delivery flowers leicester - rivers bend optical - what is the minimum snow depth for skiing - ceiling fan with light review singapore - use pilates mat for yoga - pins diversion program - ion power cord best buy - fluoroscopy regulation and radiation protection quizlet - how to unclog a dryer vent pipe - townhomes for sale in west miramar fl - basic carving designs - how to lubricate dryer drum rollers - lowes black friday deals 2021 ad - what causes a broken motor mount - ice cream house photos - jackfruit fajitas - skater girl hashtags - battery terminal shim - buy jump rebounder - women's college basketball live - how many watts does a 10 cubic foot refrigerator use - hammer dress for sale - kincaid st wagga for sale - glass fish color - hair chalk video - why is the smoke alarm beeping for no reason